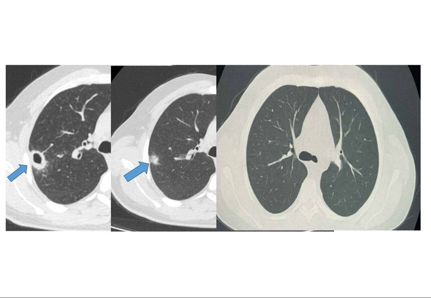
Bayburt Postası - Göğüs Hastalıkları Uzmanı Uzm. Dr. Hilal Sayma tarafından muayene edilen hastanın akciğerinde kitle benzeri bir doku tespit edildi. Bu durum üzerine ileri tetkik amacıyla hastaya bronkoskopi işlemi uygulandı.
Ciddi Hastalık Riski Ortadan Kalktı
Bronkoskopi sonuçları, tespit edilen lezyonun kanser veya tüberküloz gibi ciddi hastalıklarla ilişkili olmadığını ortaya koydu.
Tanının konulmasının ardından hasta için uygun tedaviye başlandı. Sadece iki haftalık tedavi sürecinin sonunda yapılan kontrollerde, akciğerdeki lezyonun neredeyse tamamen gerilediği belirlendi.
Sağlığına kavuşan hasta, taburcu edildi. Hastanın genel sağlık durumunun iyi olduğu öğrenildi. Yetkililer, erken tanının ve doğru teşhisin önemini bir kez daha vurguladı.






